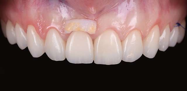
For a smile to look natural and beautiful there needs to be a balance between shape and condition of teeth, color, as well as tissue architecture. In some cases, aesthetics are shadowed by the presence of dark tissue, or dark teeth.
Causes may include: old root canal treatments, old metallic restorations. On the teeth that are devitalized, the color darkens, and the root becomes visible through tissue.
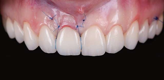
The final result is all in the details, this is why when we plan a treatment, we take all things into consideration, including management of the soft tissues during restorative procedures. Soft tissue grafts are the most efficient option for fixing dark gums, improving the volume of the gingiva and blocking the visibility of the root. Read more
For fixing dark tooth color , we can either block the dark substrate or replace it with a tooth colored one. The choise usually revolves around which option is more conservative to the structural integrity of an already damaged tooth.Read more
