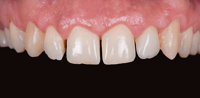
One indication for ceramic veneers is teeth with diastema. These cases are quite simple. What we have to understand is that you cannot just fill out these spaces, as teeth tend to become too wide, as their proportion will inverse.
Most often, just like this case, we need to proportionally lengthen as we widen, and we need to strategically distribute the excess of size, in order to balance the smile.
