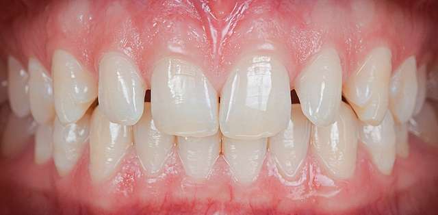
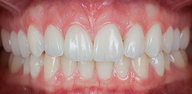
One of the textbook indications for ceramic veneers are small teeth or teeth with spaces. This type of cases are called additive cases. An additive case is a minimal invasive case, as it needs minimum preparation. The design will always imply adding material, rather than reducing tooth structure, as the space for ceramic already exists.
In theory these are easy cases, but at the same time, they are the ultimate finesse test, as the entire case is usually just details. Cecamic veneers in such scenarios ca reach 0.3-04mm. That's very thin. This means both minimal invasiveness and it also means natural optical properties.
