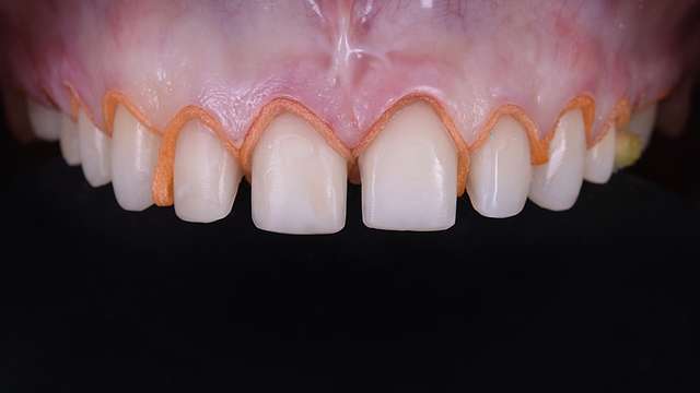
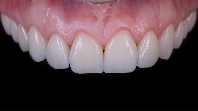
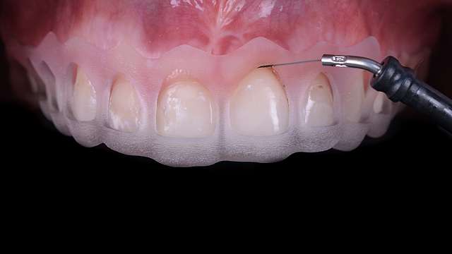
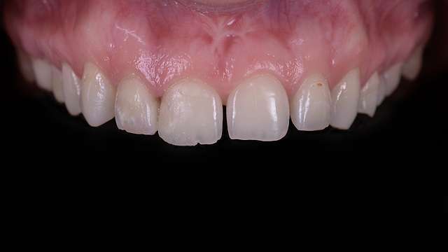
A biometric design is all about copying natural shapes and features and transferring them to veneer design. This allows us to achieve a natural subtle look. You get a beautiful smile, but no one can really tell that you have veneers. This case was treated during a live 3 day RAW course, in January 2022.
