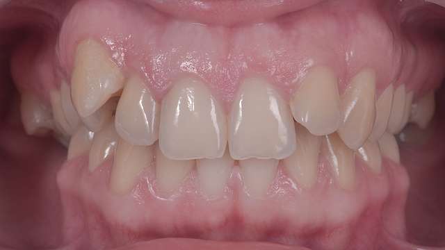
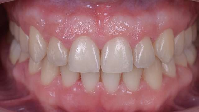
If the idea of wearing braces bothers you, esthetically speaking, we can provide you alternatives. Most orthodontic treatments have the option of being performed without brackets, by using sequenced
invisible detachable aligners. Aligners are invisible solutions for adults, transparent (Invisaling, Clear Aligner etc) and the treatment is guided by the Dentcof philosophy.
Frequently asked questions
What is the medium duration of a treatment with Clear Aligner?
A medium difficulty treatment, lasts between 5 to 6 months. During this time, patients need 4 visits for activation. At the end of the treatment, fixed or mobile retention is required.
What is the medium duration of a treatment with Invisalign?
A medium difficulty treatment, lasts between 12 to 14 months. During this time, patients need 6-7 visits for activation. At the end of the treatment, fixed or mobile retention is required.
